Les pézizes sont des Ascomycètes en forme de coupe, sans pied ou très court. Elles poussent au sol sur la terre nue, sur bois mort, sur débris végétaux ou excréments.
Principaux Genres :
Aleuria, Bisporella, Bulgaria, Caloscypha, Chlorociboria, Ciboria, Dasyscyphella, Discina, Dumontinia, Geopora, Humaria, Lanzia, Mollisia, Neobulgaria, Otidea, Peziza, Sarcoscypha, Sarcosphaera, Scutellinia, Tarzetta, ...


Le rouge vif éclatant de la Pézize écarlate (Sarcoscypha coccinea) permet de la reconnaître au premier coup d'oeil, même s'il existe plus rarement des formes orangées. 
En forme de coupe, se déchirant à la marge, elle possède un petit pied court fortement attaché au support. La face extérieure est blanchâtre ou rose orangé, recouverte d'un feutrage granuleux, mat. Odeur nulle. Spores  lisses, cylindriques à extrémités arrondies.
On la rencontre en hiver dès le début de l'année, surtout en février, dans les lieux humides, les bords de ruisseaux, sur branches mortes au sol, de noisetier ou de saule. Commune. Non comestible.
On distingue l'espèce voisine Sarcoscypha austriaca à spores concaves aux extrémités et Sarcoscypha jurana à spores identiques et présente uniquement sur tilleul. 
[ Photo mystère N° 74 ]

sarcocypha coccinea 17.jpg
sarcoscypha coccinea6.jpg

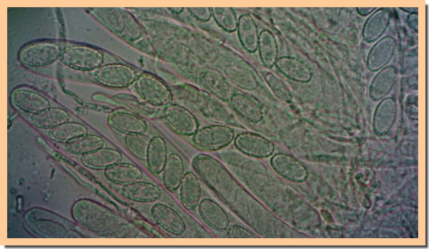
Asque à extrémité non amyloïde (J-), 400x16 µm comportant 8 spores lisses, elliptiques, 28x13 µm à parois épaisses et extrémités arrondies. 

sarcocypha coccinea2.jpg

Paraphyses grêles, cylindriques, remplies de granulations amyloïdes vert noirâtre.

paraphyses sarcoscypha coccinea3.jpg

Sarcoscypha coccinea (forme écarlate et orangée), Bord d'Allagnon, Beaulieu 63 le 04 février 2024.

sarcoscypha coccinea orangé 24.jpeg

-Caloscypha fulgens (Pézize brillante)
Espèce jaune vif, devenant verte au toucher. Sous conifères. Rare. Non comestible. Spores rondes, lisses. J-

caloscypha fulgens 14.jpg

-Chlorociboria aeruginascens (Pézize turquoise)
Le mycélium de cette pézize colore le bois pourri des feuillus en un beau bleu turquoise. On trouve beaucoup de bois colorés mais rares sont les pézizes qui apparaissent. Non comestible. Spores fusiformes, lisses. J+

chlorociboria aeruginascens 21.jpg

-Sowerbyella radiculata (Pézize à pied radicant)
Espèce jaune pâle, blanche à l'extérieur, tomenteux. Pied long, radicant, enfoui dans le sol. Pousse au sol dans les taillis sablonneux. Rare. Non comestible.

sowerbyella radiculata 23.jpg


Spores (15x6 µm) biguttulées puis verruqueuses. J-

sowerbyella radiculata spores 23.jpg

-Otidea onotica (Oreille de lièvre)
les teintes roses de l'hyménium dans sa jeunesse signent l'espèce. Sous feuillus et conifères. Peu commun. Non comestible. Spores biguttulées, lisses. J- . [Photo mystère N° 134].

otidea onotica 17.jpg

-Otidea bufonia (Pézize peau de crapaud)
Espèce brun violacé à chair très cassante, poussant dans la mousse des forêts. Peu commun. Non comestible. Spores biguttulées, lisses. J-

otidea bufonia.jpg

-Sepultaria sumneriana (= Geopora sumneriana) (Géopore des cèdres)
Espèce en forme de sphère semi-enterrée, s'ouvrant au sommet en étoile. Hyménium blanc. Face externe feutrée. Sous les cèdres, au printemps. Peu commun. Non comestible. Spores biguttulées, lisses. J-

geopora sumneriana 007.jpg

-Sarcosphaera coronaria (Pézize couronnée)
Espèce en forme de sphère semi-enterrée, s'ouvrant au sommet en étoile. Hyménium violet. Face externe lisse. Sous conifères, sur sol calcaire. Peu commun. Très Toxique. Spores biguttulées, lisses. J+

sarcosphaera coronaria.jpg

-Ascocoryne sarcoides (Ascocoryne sarcoïde)
Espèce gélatineuse de couleur vineuse à violette. Sur bois en fin d'automne, hiver. Peu commun. Non comestible. Spores cloisonnées, biguttulées, lisses. J+

ascocoryne  sarcoïde 15.jpg

-Neobulgaria pura (Bulgarie pure)
Espèce en forme de toupie à sommet plat, gélatineuse, translucide. Sur bois de hêtres. Peu commun. Non comestible. Spores biguttulées, lisses. J+

neobulgaria pura 17.jpg

-Bisporella citrina (Bisporelle jaune)
Très petite espèce de 1 à 3 mm, en forme de coupe, puis en bouton un peu bombé, avec un pied fin et court. La couleur jaune vif permet de la repérer rapidement, pousse en groupe important sur branches de feuillus. Peu commun. Non comestible. Spores cloisonnées, biguttulées, lisses. J+

bisporella citrina.jpg
bisporella citrina3.jpg

La Bisporelle jaune peut faire penser à d'autres espèces jaune vif, comme Femsjonia peziziformis  ou Dacrymyces stillatus, mais ces dernières sont des basidiomycètes. Voir page des trémelles.

-Scutellinia scutellata (Pézize en bouclier)
Les espèces du genre Scutellinia sont nombreuses et difficiles à déterminer. Ce sont de petites pézizes orangées à bord recouvert de longs poils dressés et pointus. Spores ovales, à nombreuses petites guttules, lisses puis granuleuses. J-

scutellinia scutellata.jpg

-Aleuria aurantia (Pézize orangée)
Espèce orange vif à chair très cassante, poussant au sol, sur la terre nue des chemins. Peu commun. Comestible. Spores biguttulées puis à réseau large bien marqué, et appendices aux extrémités. J-

aleuria aurantia3.jpg

Aleuria aurantia (Pézize orangée), Livradois 63, 2019

otidea onotica 19.jpeg

-Bulgaria inquinans (Bulgarie salissante)
Espèce en bouton, plate dessus, noire, brillante et salissante par la sporée noire. Face extérieure brune puis noire, granuleuse . Sur troncs de feuillus (chêne). Commun. Non comestible. Spores en forme de citron, lisses, brun foncé. J+

bulgaria inquinans 23 2.jpg


[ Photo mystère N° 125 ]

 

bulgaria inquinans 23 1.jpg
chlorociboria aeruginascens 14.jpg

Le genre Peziza comprend une cinquantaine d'espèces en forme de coupe brune, plutôt grande. Les espèces sont difficiles à déterminer sur le terrain, l'étude des spores est indispensable. Les asques sont amyloïdes (J+)

-Peziza vesiculosa (Pézize vésiculeuse)
Isolée ou en groupes importants sur débris végétaux, paille ou fumiers, sciure. Commun. Non comestible.

peziza vesiculosa 16.jpg


Spores grandes (22-12µm), lisse sans guttules. Opercules des asques bleu intense (réaction amyloïde) à l'iode. J+

peziza vesiculosa asques1.jpg

-Peziza arvernensis (Pézize d'Auvergne) dans une hêtraie.
Peu commun. Non comestible.

peziza arvernensis.jpg


Spores (16-9µm) finement verruqueuses. J+

peziza arvernensis micro 20.jpg

-Peziza phyllogena (Pézize  olivacée) au sol, sous feuillus.
Chair plus ou moins violette. Peu commun, printanière. En troupes plus ou moins serrées, dans les taillis de feuillus sur bois enterré. Non comestible. Nouveau nom, Phylloscypha phyllogena 2020.

phylloscypha phyllogena 24 2.jpg


Spores (16-9µm) à fortes verrues. J+

peziza phyllogena micro 2.jpg

-Legaliana badia ( = Peziza badia) (Pézize baie) au sol, sous résineux.
 Hyménium brun olive fonçé. Commun. Non comestible.

peziza badia.jpg


Spores (18-8µm) couvertes par un réseau incomplet. J+

peziza badia2.jpg

-Peziza phyllogena (Pézize  olivacée)  sous taillis de feuillus, 28 mars 2024.

phylloscypha phyllogena 24 3.jpeg

-Peziza badia (Pézize baie) au sol, sous résineux, 16 août 2009.

peziza badia-01.jpeg

Peziza sp.

peziza sp.JPG

-Encoelia furfuracea (Pézize du noisetier)
Espèce éruptive à travers l'écorce des noisetiers. Spores lisses, hyalines et allantoïdes (en forme de saucisse). Spores en forme de saucisse, guttulées, lisses. J+

encoelia furfuracea 22.jpg
encoelia furfuracea.jpg


Il existe plusieurs espèces voisines inféodées à différentes essences d'arbres, comme Encoelia fascicularis sur branches de peupliers ou Encoelia fraxinicola sur branches de frênes.
 

-Dumontinia tuberosa (Sclérotinie tubéreuse)
Petite pézize à long pied sombre, que l'on trouve dans les bois de feuillus, au printemps, en compagnie de  l'Anémone sylvie (Anemone nemorosa), que le champignon parasite par  un sclérote noir, enterré, greffé aux rhizomes de la plante. Pied noir pouvant atteindre 10 cm. Peu commun. Non comestible. Spores ovales, biguttulées, lisses. J+

dumontinia sclerotina.jpg

-Disciotis venosa (Pézize veinée)
Grosse espèce brun clair à brun fonçé, à surface ridée et odeur d'eau de Javel. Pousse au sol, sur terrain humide, printanier. Rare. Consommation non recommandée, voir page des morilles. Spores ovales, lisses. J-

Photo : Claude C.
Disciotis venosa1 _Pezize veinee_.jpg

-Spathularia rufa (Spathulaire rousse)
Espèce très facile à identifier, pousse dans les forêts de conifères, en troupe importante. Peu commun. Non comestible. Spores longues, cylindriques, étroites, lisses, multicloisonnées. J-

spathularia flavida.jpg

-Mitrula paludosa (Mitrule des marais)
Au bord des eaux stagnantes, dans les rases et les fossés des forêts humides. Eté, automne. Peu commun. Non comestible. Spores cylindriques, lisses, parfois cloisonnées. J+

mitrula paludosa 18.jpg

-Spathularia flavida (Spathulaire jaune)
De forme identique à la précédente, mais plus jaune, à pied clair. Commun sous conifères. Non comestible. Spores longues, cylindriques, étroites, lisses, multicloisonnées. J-

spathularia flavida 22 1.jpg

-Leotia lubrica (Léotie lubrique)
[ Photo mystère N° 83 ]

Petite espèce gélatineuse à chapeau lobé, bosselé, jaune verdâtre. Pouvant faire penser à la Chanterelle en tube mais dessous lisse à furfuracé.

leotia lubrica 14.jpg


En groupe dense dans la mousse des forêts de conifères. Peu commun. Toxique. Spores longues, larges, multicloisonnées, lisses. J-

Leotia lubrica1b _Leotie lubrique_.jpg
leotia lubrica 22.JPG

-Cudonia circinans (Cudonie circulaire)
Pouvant faire penser à l'espèce précédente mais chair non gélatineuse, sèche. Pied sillonné. Peu commun. Toxique. Spores longues, étroites, cloisonnées, lisses. J-

cudonia circinans 18.jpg

-Cudonia confusa (Cudonie confuse) 
Considérée par certains auteurs comme une forme plus foncée de la Cudonie circulaire. Peu commun. Toxique. Spores longues, étroites, cloisonnées, lisses. J-

cudonia confusa 22.jpg

-Xylaria hypoxylon (Xylaire du bois)
Espèce très facile à identifier par la couleur et la forme. Chair blanche et coriace. Hauteur 3 à 6 cm. Sur souches et branches mortes de feuillus. Commun. Non comestible. Spores réniformes, lisses, noires avec une fente germinative. J+

xylaria hypoxylon2.jpg

-Xylaria polymorpha (Xylaire polymorphe)
Espèce très facile à identifier par la couleur et la forme. Chair blanche et coriace. Hauteur 3 à 6 cm. Sur souches et branches mortes de feuillus, surtout hêtres. Spores elliptiques en forme de citron. Peu commun. Non comestible. Spores réniformes, lisses, noires avec une fente germinative. J+

xylaria polymorpha.jpg

-Ophiocordyceps gracilis (Cordyceps grêle)
[ Photo mystère N° 109 ]

Sur chenille de papillon enterrée. Printannier, dans la mousse des forêts de conifères. Rare. Non comestible. Spores cylindriques, lisses. J-

cordyceps gracilis.jpg

-Cordiceps  militaris (Cordyceps militaire)
Sur pupe enterrée de papillon. Rare. Forêts et prairies. Non comestible. Spores cylindriques, lisses. J-

cordyceps militaris.jpg

-Tolypocladium capitatum (Cordyceps capité)
Sur Elaphomyces  granulatus (Truffe du cerf) enterré. Spores longues, filiformes se divisant en de nombreuses spores lisses, guttulées. Rare. Non comestible. Spores cylindriques, lisses. J-

Tolypocladium capitatum.jpg

-Tolypocladium ophioglossoides (Cordiceps faux-ophioglosse)
Sur Elaphomyces  granulatus (truffe du cerf) enterré. Spores longues, filiformes se divisant en de nombreuses spores lisses, non guttulées. Rare. Non comestible. Spores cylindriques, lisses. J-

Tolypocladium ophioglossoides.jpg

-Trichoglossum hirsutum (Trichoglosse hirsute)
Entièrement veloutée et sèche, noire, poussant au sol, dans les prairies humides. Spores longues et cloisonnées. Rare. Non comestible. Photo Plateau de Labro, St Hérent 63. Nov 2002. Spores longues, multicloisonnées, lisses. J+

trichoglossum hirsutum.jpg
xylaria hypoxylon3.jpg
mitrula paludosa.jpeg
DSC03932.JPG